Антинуклеарный фактор на клеточной линии HEp-2 (АНФ)
Синонимы (rus): Антинуклеарные антитела, АНФ, АНА
Синонимы (eng): ANA, antinuclear antibodies
Биоматериал: Венозная кровь
Показатель(и): Аутоантитела к ядерным и цитоплазматическим антигенам
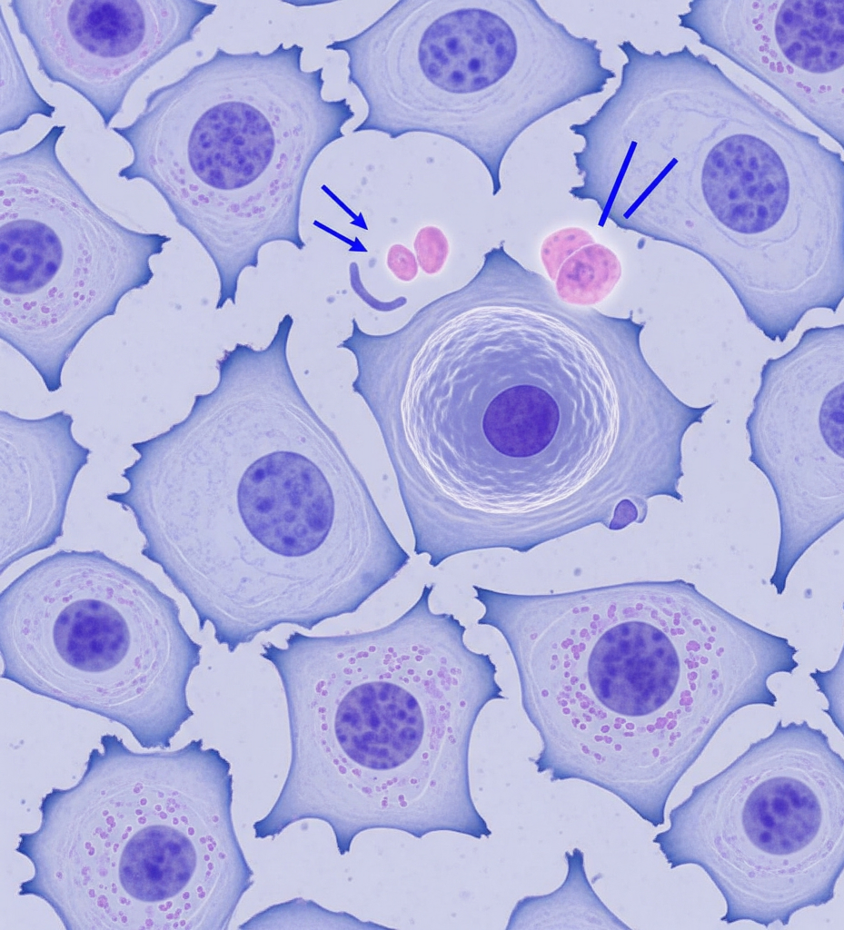
Метод(и): Реакция непрямой иммунофлюоресценции
Тип контейнера и особенности преаналитики: Биохимическая пробирка с активатором свертывания,6 мл (красная или коричневая крышечка)
Описание
Антинуклеарные антитела – это семейство аутоантител, направленных против различных клеточных структур, включая ядро, ядерную мембрану, митотический аппарат, компоненты цитоплазмы , а также клеточные мембраны. Антинуклеарный фактор (АНФ) представляет собой иммунофлюоресцентный тест на перевиваемых клеточных линиях человека и является основным методом обнаружения антинуклеарных антител. Антитела выявляются за счет их связывания с антигенами клеточной линии HEp-2. Определение АНФ рекомендовано в качестве теста для скрининга антинуклеарных антител как множеством национальных рекомендаций, так и международными рекомендациями (Nancy Agmon-Levin et all, 2013). АНФ в титре >80 включен в новые классификационные критерии системной красной волчанки EULAR/ACR 2019 года. В комплексе с АНФ рекомендуется проводить исследование антител к экстрагируемому нуклеарному антигену (ENA скрин). Обнаружение АНФ требует установления специфичности аутоантител с помощью ряда уточняющих тестов, а именно иммуноблота антинуклеарных антител, иммуноблота антинуклеарных антител при системной склеродермии, иммуноблота при воспалительных миопатиях. В ряде случаев антигенную специфичность АНФ установить не удается в силу серологических реакций против конформационных, растворимых или неохарактеризованных антигенов антинуклеарных антител. Распределение антигенов внутри клетки определяет тип свечения ядра, который позволяет судить о спектре антинуклеарных антител, присутствующих в данной сыворотке. Типы свечения указаны согласно рекомендации Международной Согласительной группы по типам свечения АНФ (https://www.anapatterns.org).
Когда назначается
Скрининг и диагностика системных заболеваний соединительной ткани и других аутоиммунных заболеваний
Подготовка к анализу
Специальная подготовка не требуется. Рекомендуется забор крови не ранее чем через 4 часа после последнего приема пищи.Не курить в течение 30 минут до исследования.
Расшифровка/Интерпретация
Отрицательный результат антинуклеарного фактора (АНФ) с вероятностью до 90% исключает диагноз системной красной волчанки, диффузной склеродермии, синдрома Шегрена, CREST-синдрома, смешанного заболевания соединительной ткани, ювенильного ревматоидного артрита, а также с вероятностью до 80% — наиболее частые формы аутоиммунного поражения печени, в том числе аутоиммунный гепатит 1 типа и первичный билиарный цирроз. Тип свечения при отрицательном результате не определяется. Результат данного теста может быть ложноотрицательным в отношении ряда цитоплазматических антигенов (антитела к рибосомальному Р-протеину, Jo-1), а также при детекции АНФ у некоторых групп пациентов. Например, в случае скринингового тестирования АНФ у детей (<16 лет) референтное значение может быть ниже (<40). Положительный результат исследования антинуклеарного фактора (АНФ) указывает на наличие антинуклеарных антител и обычно отмечается у пациентов с системными аутоиммунными заболеваниями. С наибольшей частотой АНФ отмечается при диффузных заболеваниях соединительной ткани (85-90%), аутоиммунных заболевания печени (70-80%), олигоартикулярном ювенильном ревматоидном артрите (90%), ревматоидном артрите (30%), воспалительных миопатиях (40%), синдроме Рейно (15-20%) и аутоиммунных заболеваниях щитовидной железы (20%). Выявление АНФ играет важную роль в диагностике аутоиммунного гепатита 1 типа. Низкие титры АНФ часто отмечаются на фоне инфекционных и онкологических заболеваний. У клинически здоровых лиц частота низких титров АНФ составляет до 10 %, в пожилом возрасте вероятность выявления АНФ значительно возрастает.
Список литературы
- Лапин С.В. Тотолян А.А. Иммунологическая лабораторная диагностика аутоиммунных заболеваний/ Издательство «Человек», СПб — 2010.
- Насонов Е.Л., Александрова Е.Н. Современные стандарты лабораторной диагностики ревматических заболеваний. Клинические рекомендации / БХМ, М — 2006.
- Conrad K, Schlosler W., Hiepe F., Fitzler M.J. Autoantibodies in Organ Specific Autoimmune Diseases: A Diagnostic Reference/ PABST, Dresden – 2011.
- Conrad K, Schlosler W., Hiepe F., Fitzler M.J. Autoantibodies in Systemic Autoimmune Diseases: A Diagnostic Reference/ PABST, Dresden – 2007.
- Gershvin ME, Meroni PL, Shoenfeld Y. Autoantibodies 2nd ed./ Elsevier Science – 2006.
- Shoenfeld Y., Cervera R, Gershvin ME Diagnostic Criteria in Autoimmune Diseases / Humana Press – 2008.